Durante la evaluación en la consulta del paciente con pie diabético complicado vamos a realizar la evaluación inicial del tipo de infección, de la isquemia, y de las posibilidades terapéuticas que vamos a comunicar a nuestro paciente.
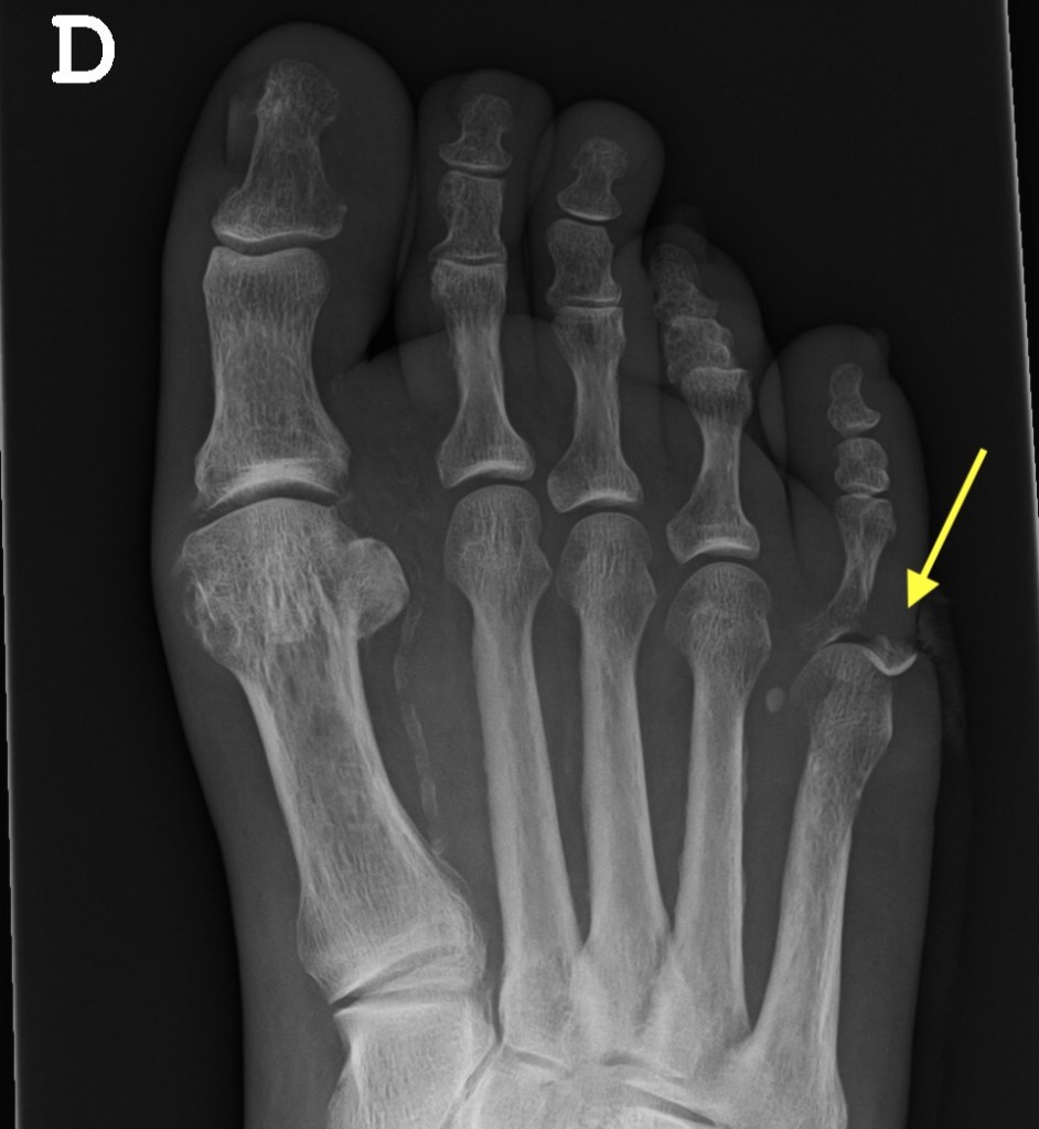
En los casos con infección es necesario realizar una radiografía en dos proyecciones del pie.

En este caso podemos ver que existe una úlcera profunda, sin tejido de cicatrización.

En la radiografía se puede apreciar que existe una destrucción del hueso, de la quinta articulación metatarso-falángica (flecha amarilla)
El paciente carecía de pulsos distales y en este caso ya que no existía una infección severa optamos por realizar una revascularización del paciente y durante ese periodo estuvo cubierto con antibióticos dirigidos mediante biopsia ósea mientras se realizaba la revascularización.


Tras una revascularización exitosa, realizamos al paciente una presión transcutánea de oxígeno que arrojaba valores mayores de 30 mmHg y por tanto compatible con la cicatrización.
Procedimos entonces a la cirugía, en este caso realizamos una resección de la quinta articulación metatarso-falángica

Finalmente conseguimos la cicatrización al 100% y la resolución de la infección que no ha recidivado tras 4 años de seguimiento
